Stomatologiyada dişlərin sağlamlığı ilə yanaşı dişlərin estetikası və gözəlliyidə çox mühüm rol oynayır. Dişlərimizin estetikası xarici görünüşümüzə ciddi təsir edir. Ona görədə dişlər psixoloji cəhətdəndə böyük əhəmiyyət kəsb edir.

Diş estetikası bir neçə aspektdən ibarətdir

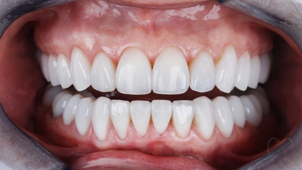
  1. Dişlərin forma və ölçüsü: dişlərin düzgün forma və ölçüdə olması, təbii və simmetrik görünüş yaradır. Forma və ölçülərin düzgün olmağı estetika ilə yanaşı dişlərin sağlamlığı üçündə önəm daşıyır.
  2. Dişlərin rəngi: dişlərin təbii rəngi insanlarda fərqlilik göstərə bilsədə zamanla diş rənglərində dəyişikliklər ola bilir. Bu zaman diş ağartma prosedurlarına yönələ bilərsiniz. Diş ağartma proseduru həm də təbii rəngi bəyənilməyən dişlərə tətbiq edilərək daha bəyaz və parlaq görüntü əldə edilir.
  3. Dişlərin düzülüşü: düzgün sıralanmış dişlər,gülüşün estetik keyfiyyətini artırır. Əgər dişlərinizin düzülüşündə assimetriya,əyriliklər və ya diş aralarında boşluqlar varsa ortodontik prosedurlar tətbiq edilə bilər.
  4. Sağlam diş ətləri: diş ətlərinizin sağlamlığı, dişlərinizin estetikası baxımındanda önəmlidir. Sağlam olmayan diş ətlərindəki rəng dəyişiklikləri estetik baxımdanda yaxşı görünmür. Diş əti xəstəlikləri adlı yazımızda bu haqda ətraflı məlumat ala bilərsiniz.
dişlərin estetikası

Diş estetikası müasir stomatologiyanın ən çox inkişaf edən sahələrindən biridir və müxtəlif müalicə üsulları ilə hər kəsin öz gülüşünü daha parlaq və təbii etməsinə imkan yaradır. Dişlərinizi yaxşı vəziyyətdə saxlamaq və onlara düzgün qulluq etmək, yalnız gözəl bir görünüş yaratmaqla qalmır, həm də ümumi sağlamlığınızı qorumağa kömək edir.

Diş estetikası yalnız dişlərin fiziki vəziyyətinə deyil, eyni zamanda insanın psixoloji halına müsbət təsir göstərir. Gözəl və sağlam dişlərə sahib olmaq, özünə güvən hissini artırmaqla yanaşı, sosial münasibətlərdə daha rahat və inamlı olmağa kömək edir.